ÀÇ·áÁø ¼Ò°³ Áø·á½Ã°£ ã¾Æ¿À½Ã´Â ±æ ¿Â¶óÀÎ »ó´ã ÀüÈ­ ¿¬°á

°©»ó¼±/µÎ°æºÎ Áúȯ

doori ent & rhinoplasty, sleep clinic

°©»ó¼±/µÎ°æºÎ Áúȯ

°©»ó¼±/µÎ°æºÎ(¸ñ) ÃÊÀ½ÆÄ

°©»ó¼±/µÎ°æºÎ(¸ñ) ÃÊÀ½ÆÄ

img

°©»ó¼±/µÎ°æºÎ(¸ñ) ÃÊÀ½ÆÄ

°©»ó¼±, ¸²ÇÁÀý, ħ»ù µî Ȥ(Á¾¾ç)ÀÌ ÀÖÀ» ¶§ ȤÀÇ Á¾·ù¸¦ ÆÄ¾ÇÇϰí,
¾ÏÀÇ ¿©ºÎ¸¦ ¹àÈ÷±â À§ÇÑ °Ë»çÀÔ´Ï´Ù.

Á¶Á÷ äÃë

¾ÈÁ¤ ÈÄ ±Í°¡

ÁÖ»ç±â ¶Ç´Â Á¶Á÷»ý°Ë¿ë ÃÑÀ» ÀÌ¿ëÇÏ¿© °Ë»ç½Ã ÃÊÀ½ÆÄ ¿µ»óÀ» º¸¸é¼­ Àǻ簡 ½Ã¼ú¹Ù´ÃÀ» Ȥ¿¡ ³Ö°í ¼¼Æ÷ ¶Ç´Â Á¶Á÷À» äÃëÇÕ´Ï´Ù.
Çʿ信 µû¶ó ±¹¼Ò¸¶Ã븦 ½ÃÇàÇÒ ¼ö ÀÖÀ¸¸ç, ȤÀÇ °³¼ö¿Í Á¾·ù¿¡ µû¶ó ¸îÂ÷·Ê ´õ °Ë»çÇÒ ¼ö ÀÖ½À´Ï´Ù.
°Ë»ç°¡ ³¡³­ ÈÄ ¾óÀ½ÁÖ¸Ó´Ï ¹× ±¹¼Ò¾Ð¹Ú°ú °°ÀÌ ¾ÈÁ¤À» ÃëÇϽŠµÚ ±Í°¡ÇÕ´Ï´Ù.
°æ¿ì¿¡ µû¶ó 15~30ºÐ °¡·®ÀÇ ¾ÈÁ¤ÀÌ ÇÊ¿äÇÒ ¼ö ÀÖ½À´Ï´Ù.

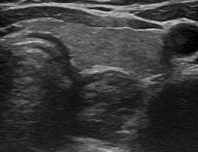
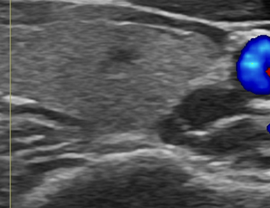
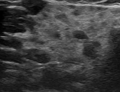
°©»ó¼±/µÎ°æºÎ(¸ñ)
ÃÊÀ½ÆÄ »çÁø

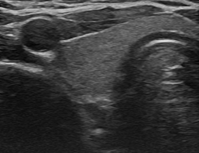
¿ìÃø Á¤»ó °©»ó¼±

img

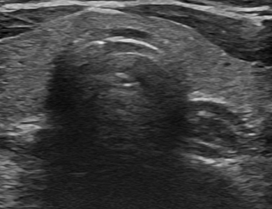
ÁÂÃø Á¤»ó °©»ó¼±

img

Á¤»ó °©»ó¼± ÇùºÎ

img

ÁÂÃø °©»ó¼± ¾ç¼º °áÀý

img

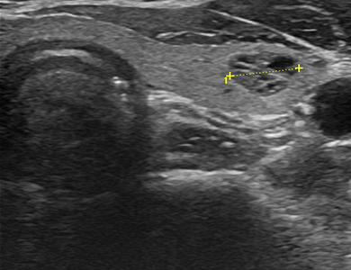
¿ìÃø °©»ó¼± ¾Ï

img

ÁÂÃø °©»ó¼± ¾Ï

img

¿ìÃø °æºÎ ¸²ÇÁÀý

img

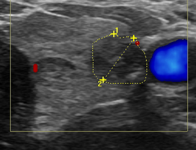
ÁÂÃø ÀÛÀº »ó¼± ¾Ï

img

¿ìÃø ÀÌÇϼ± ºÎÁ¾, º¼°Å¸®

img

Á¶Á÷ »ý°Ë¿ë±â±¸(Gun-Biopsy)

img

½Ã¼ú Áß ¶Ç´Â ȸº¹¿¡
¹ß»ý °¡´ÉÇÑ ¹®Á¦Á¡

°©»ó¼± ÃÊÀ½ÆÄ À¯µµÇÏ ¼¼Æ÷°Ë»ç ¶Ç´Â Á¶Á÷°Ë»ç´Â °©»ó¼± °áÀýÀÌ ¾ÏÀÎÁö ¿©ºÎ¸¦ º¸´Âµ¥ ÇʼöÀûÀÎ °Ë»çÀÌÁö¸¸ ¾à 20% Á¤µµ¿¡¼­´Â Á¤È®ÇÑ Áø´ÜÀÌ ¾î·Á¿ï ¼ö ÀÖ´Ù. ÇÏÁö¸¸, °©»ó¼±¾Ï Áß ÀϺθ¦ Â÷ÁöÇÏ´Â ¿©Æ÷¼º Á¾¾çÀÇ °æ¿ì¿¡´Â ¼¼Æ÷°Ë»ç, Á¶Á÷°Ë»ç ¸¸À¸·Î Áø´ÜÀÌ ºÒ°¡´ÉÇÏ¿© ¿Ü°úÀû ÀýÁ¦°¡ ÇÊ¿äÇÒ ¼ö ÀÖ´Ù.
ȤÀÇ Á¾·ù, À§Ä¡¿¡ µû¶ó ½Ã¼ú ºÎÀ§ÀÇ ³»ºÎÃâÇ÷, ÁÖº¯Àå±âÀÇ ¼Õ»ó µîÀÌ ÀÖÀ» ¼ö ÀÖ´Ù.
´ë°³´Â ¾ÈÁ¤°ú ¾Ð¹Úµå·¹½Ì, ¾óÀ½ÁÖ¸Ó´Ï, ¾à¹°Ä¡·á·Î È£ÀüÀÌ µÇÁö¸¸, °æ¿ì¿¡ µû¶ó ÁöÇ÷À» À§ÇØ Ãß°¡ ¼ö¼úÀÌ ÇÊ¿äÇÒ ¼öµµ ÀÖ´Ù. ½Ã¼ú Á÷ÈÄ Áï½Ã ¹ß»ýÇÏ´Â °Ë»ç ºÎÀ§ÀÇ ÅëÁõÀ̳ª º×±â µî ÀÌ»óÀÌ ¾ø´ÂÁö È®ÀÎÇÑ µÚ ±Í°¡ ÈÄ¿¡µµ Áö¿¬ ÃâÇ÷ÀÌ ÀÖÀ» ¼ö ÀÖÀ¸¹Ç·Î °Ë»ç ´çÀÏÀº ¾ÈÁ¤ÀÌ ¹Ýµå½Ã ÇÊ¿äÇÏ´Ù.
¼Òµ¶µÈ °Ë»ç ºÎÀ§¿¡ ¿°ÁõÀÌ ¹ßÇÏÁö ¾Êµµ·Ï ÇÏ·ç µ¿¾È û°áÈ÷ °ü¸®ÇØ¾ß Çϰí , ±Í°¡ ÈÄ¿¡ Á¡Á¡½ÉÇØÁö´Â ÅëÁõ, º×´Â Áõ»ó, È£Èí °ï¶õ µîÀÌ ¹ß»ýÇϸé Áï½Ã º´¿ø¿¡ ¹®ÀÇÇÏ¿© ÀÇ·áÁø°ú »ó´ãÇØ¾ß ÇÑ´Ù. ½Ã¼úºÎÀ§ÀÇ »óÅ¿¡ µû¶ó Ãß°¡ÀûÀÎ Ä¡·á°¡ ÇÊ¿äÇÒ ¼ö ÀÖ´Ù.
img

½Ã¼úÀ» ¹ÞÁö ¾ÊÀ» °æ¿ì

ȤÀÌ ¾ç¼ºÀÎÁö ¾Ç¼ºÀÎÁö ÃÊÀ½ÆÄÀÇ
¸ð¾ç¸¸À¸·Î È®½ÇÇÏ°Ô ¾Ë ¼ö°¡ ¾ø½À´Ï´Ù.

±×·¸±â ¶§¹®¿¡ ÇâÈÄ Ä¡·á ¹æÄ§ÀÇ °áÁ¤ÀÌ ¾î·Æ°Ô µË´Ï´Ù. Á¶Á÷°Ë»ç·Î È®ÀÎÇÏÁö ¾ÊÀº ȤÀÌ ¾Ç¼ºÀÎ °æ¿ì¿¡´Â ȯÀÚÀÇ ¿¹ÈÄ¿¡ Å« ¾Ç¿µÇâÀ» ¹ÌĨ´Ï´Ù. À̸¦ ´ëºñÇØ ºü¸¥ °Ë»ç¿Í ½Ã¼úÀ» ¹Þ¾Æ¾ß ÇÕ´Ï´Ù.